TR | EN
Hizmetler Hekimler Galeri İletişim
WhatsApp
Hijyen · Estetik · Güven

Bir mücevher gibi parlayan gülüşler için:
Gem Dental

İmplant, ortodonti, gülüş tasarımı ve beyazlatma. Modern teknoloji, şeffaf fiyatlandırma ve hasta odaklı yaklaşım.

Hizmetler

Uzmanlık Alanlarımız

Dijital görüntüleme ve modern tedavi yaklaşımları ile konforlu bir deneyim.

Sözümüz

Neden Biz?

Sağlıklı, doğal ve uzun ömürlü gülüşler yaratma taahhüdümüz.

  • İngilizce konuşan deneyimli hekimler
  • Ücretsiz Danışmanlık
  • Panoramik Röntgen ve 3D Tarama
  • Tam Dijital İş Akışı
  • Aynı gün plastik Geçici Dişler
  • Birkaç günde tamamlanan tedavi
  • Marmaris içi ücretsiz transfer
  • Konaklama ve Havaalanı Transferleri
Gem Dental'de tedaviden sonra güzel bir gülüş

HER GÜLÜŞÜN BİR MÜCEVHER OLDUĞU YER

Ekibimiz

Hekimlerimiz

Dönen elmas arkaplan Dt. Kübra Nur Varlı portresi

Dt. Kübra Nur Varlı

Estetik Diş Hekimliği · 10+ yıl
“Her gülüş kişisel bir tasarımdır.”
Galeri

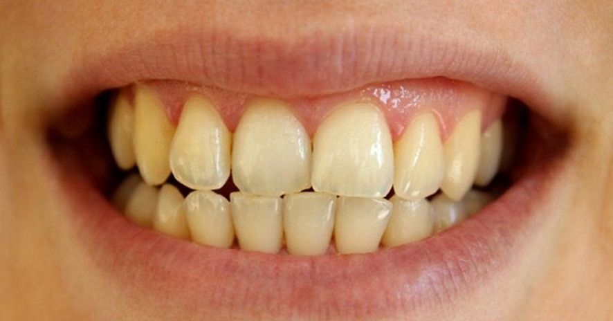
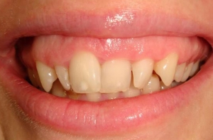
Önce · Sonra

Gerçek hasta sonuçlarından örnekler. (Görseller hasta onayı ile paylaşılmıştır)

ÖNCE Vaka 1 Önce
SONRA Vaka 1 Sonra
ÖNCE Vaka 2 Önce
SONRA Vaka 2 Sonra
ÖNCE Vaka 3 Önce
SONRA Vaka 3 Sonra
İletişim

Konum & Ulaşım

Otopark, engelli erişimi ve toplu taşıma yakınlığı mevcuttur.

Adres

Gölenye Mah. Gölenye 169 Sk. No:5/3 İçmeler-Marmaris

Telefon: 0 (312) 345 67 89

E‑posta: info@gemdentalclinic.com

Çalışma Saatleri

Pazartesi – Cumartesi: 09:00 – 19:00
Pazar: Kapalı

Acil durumlar için 7/24 telefon hattı.

Gizlilik & Bilgilendirme

Verileriniz Gizlilik Politikası kapsamında işlenmektedir. Görseller izinle paylaşılır.

Şeffaf Fiyatlandırma

Bize Ulaşın!